假性进展会带来哪些问题?
RANO 2010指出,假性进展带来了三个主要问题。第一个问题是,它可能导致有效的辅助治疗过早终止。例如,一位接受了手术并正在使用替莫唑胺的患者,在随访扫描似乎显示疾病进展。如果那个进展是假性进展,替莫唑胺将被停止,尽管它实际上是有效的。因此,对于个别患者来说,错误地认为是疾病进展而终止了有效治疗会带来负面后果。
第二个问题是假性进展限制了无进展生存期(PFS)作为终点的有效性,除非通过组织检查确认肿瘤存在。这是因为患者看起来比实际在治疗中的进展更早,导致无进展生存期被低估,而实际上患者的无进展生存期更长。
假性进展带来的第三个问题是导致复发性神经胶质瘤临床试验入组患者的混杂,这将导致虚高的缓解率和无进展生存期。如果将假性进展患者纳入复发性神经胶质瘤的临床试验中,那么当这些患者在实验治疗下病情稳定甚至好转时,我们并不能确定这种变化是由于实验治疗的有效性,还是因为假性进展的自然消退。
评估标准如何应对假性进展?
2010年的RANO标准
在原始RANO标准中,只有在放射治疗完成后的前12周内,如果大部分新的异常增强出现在放射靶区之外(超出高剂量区或80%等剂量线),才能确定进展。如果是在放射靶区之外,异常增强不是由放射暴露引起的。在放射治疗后的前12周内,只有通过组织病理学采样明确发现可存活的肿瘤,才能确定进展。
如果是在放射治疗完成12周后或更长时间,则根据以下情况确定进展:
* 在放射靶区外出现新的对比增强病灶(与放射治疗后的前12周相同)
* 与第一次放射治疗后的扫描相比,或与肿瘤较小的后续扫描相比,肿瘤直径总和增加超过25%,并且在稳定或增加的类固醇剂量下在12周或更晚时进行扫描
* 临床恶化无法归因于其他原因(可以被视为进展——但不适用于临床试验的入组)
* 如果接受抗血管生成治疗,与基线相比,T2/FLAIR的显著增加可能被认为是类固醇稳定或增加后的病情进展
2015年的iRANO标准
iRANO标准对2010年RANO标准进行了补充,将临床状态和免疫治疗的持续时间纳入进展的判定。基本上,在iRANO标准下,如果扫描显示影像学进展,必须询问是否有显著的临床恶化。如果在影像学进展的情况下出现显著恶化,则该情况将被视为疾病进展(PD),并终止免疫治疗方案。
如果在影像学进展的情况下没有临床恶化,则考虑当前免疫治疗方案的持续时间。如果患者接受该方案超过6个月,则也将被视为PD,并停止免疫治疗。如果患者接受该方案的时间不超过6个月,则在患者的临床状况没有恶化且在3个月内保持稳定的情况下,继续治疗3个月。3个月后进行随访MRI,以确定这是实际的PD还是假性进展(PsP)。
如果随访扫描中发现了影像学进展,则宣布进展。如果没有发现影像学进展,则评估不同的反应,如完全缓解(CR)、部分缓解(PR)或稳定疾病(SD),并继续进行免疫治疗。如果是真正的PD,进展日期将追溯到最初发现影像学PD的时间。
2017年的mRANO标准
mRANO的一个主要修改是使用放射治疗后的时间点作为新诊断的胶质母细胞瘤(GBM)反应评估的基线,而不是之前将放射治疗前的扫描作为基线。这很重要,因为在此期间可能会发生变化,与最初的RANO标准相比,这是基线评估的一个显著变化。
此外,对于mRANO,反应和进展的定义是基于客观定义的可测量的增强病变,而排除了通过定性评估的T2/FLAIR变化。换句话说,他们不再将显示肿瘤增强的T2/FLAIR区域的扩大作为进展的标志。最后,mRANO要求间隔4-8周的两次扫描来证实进展。
以下是使用mRANO标准评估临床试验中PD和PsP的简化流程概述:
* 首先进行诊断和入组前MRI,随后进行手术切除,然后进行术后MRI(0)
* 患者同时接受放射治疗和其他治疗,之后进行治疗后MRI(1),这构成了疗效评估的基线。然后患者开始辅助治疗
* 治疗后患者进行MRI(N)。如果增强病灶的双径测量增加超过25%或体积测量增加超过40%,则宣布初步PD
* 患者继续接受治疗4到8周,然后进行MRI(N+1),与治疗后基线MRI(N)进行比较。如果增强病灶的双径测量增加超过25%或体积测量增加超过40%,则宣布确诊PD并停止治疗
* 如果在MRI(N+1)中发现SD、PR或CR,则宣布确诊PsP,患者继续接受治疗,并在4到8周后进行另一项MRI(M)
* 如果在MRI(M)中与低谷或MRI(N+1)相比,增强病灶的双径测量增加超过25%或体积测量增加超过40%,则宣布确诊进展并停止治疗。进展日期追溯到治疗后MRI(N)
* 如果在MRI(M)中发现SD、PR或CR,则宣布SD,患者继续接受治疗。
评估PD的过程与复发性胶质母细胞瘤(GBM)非常相似,除了最初的部分有些不同。mRANO中复发性GBM的流程:
* 从复发和入组前的MRI(0)开始
* 患者可能会进行增强病灶的再切除,但这是可选的
* 术后进行新的基线治疗前MRI(1)(如果进行了手术),并且必须在术后72小时内进行。理想情况下,时间应尽可能接近手术,但标准允许在72小时内完成
* 患者被随机分配治疗,治疗必须在治疗前MRI(1)后的21天内开始
* 治疗后,流程遵循新诊断的GBM的相同大纲。
mRANO引入了一些其他关键因素,包括:
* 建议使用T1减影图来最好地识别增强病灶。通过从对比前T1加权MRI中减去对比后T1加权MRI,得到T1减影图,这极大地突出了增强病灶。
* mRANO还提供了通过传统双平面测量或体积测量进行病灶测量的选项。必须将增强病灶的体积测量增加超过40%,或者双径测量增加超过25%,才能宣布为PD。
* mRANO标准建议使用符合国际标准化脑肿瘤成像协议的3D T1对比前后成像。在mRANO之前,2D成像是可以接受的。
2023年的RANO 2.0标准
RANO 2.0标准是最新的反应评估标准,于2023年9月发布。RANO 2.0讨论的第一个内容是基线扫描。RANO 2012规定基线扫描应为术后MRI,而mRANO建议放射治疗后的扫描作为基线。RANO 2.0建议使用放疗后约4周的首次放疗后扫描作为基线,以确定PD。
如果诊断为未接受放射治疗的新神经胶质瘤,则术后扫描应为基线,且应在术后48小时内进行。他们将mRANO的72小时间隔缩短至48小时,因为术后等待时间越长,看到的增强可能不是肿瘤增强,而是手术反应。对于复发性神经胶质瘤,治疗前的MRI将作为基线,和mRANO的做法相同。
RANO 2.0还建议基线扫描应尽可能接近治疗的开始时间,但不得超过14天。在mRANO中,这一时间框架是21天,因此RANO 2.0缩短了这一窗口期。
值得注意的是,尽管术后扫描不再作为基线,但它仍然对检测手术并发症很有用。此外,您还可以评估增强病灶的切除范围,这具有预后价值。术后残留的增强病灶越多,患者的预后越差。
RANO 2.0讨论了宣布PD的标准,以允许复发性神经胶质瘤患者参加试验。宣布PD的标准包括:
* 病灶垂直直径乘积的总和增加大于或等于25%(与原始RANO相同)
* 或者,增强病灶体积增加大于或等于40%
* 新的可测量病灶
如果在放化疗后的前12周内影像学显示进展迹象且患者临床状况稳定,RANO 2.0建议每4到8周进行随访,以确认PD并排除假性进展(PsP),因为在放疗后的前12周内,30%到40%的胶质母细胞瘤患者会出现假性进展。需要注意的是,如果随访影像学确认了进展,进展日期应追溯到第一次发现PD的证据,而不是确认PD的随访扫描。这会影响无进展生存期(PFS)的计算,因此即使需要随访扫描来确认,PD的日期也应为首次发现PD的时间。
值得注意的是,与mRANO不同,RANO 2.0规定,如果在前12周之外没有假性进展的考虑,则不需要第二次确认扫描来确认PD。
RANO 2.0还列出了复发性神经胶质瘤患者应何时被排除在试验之外。如果进展发生在放化疗后的前12周内,患者应被排除在外,除非进展明确发生在放射场之外(高剂量区域或80%等剂量线之外),或有病理学证据确认了疾病进展。需要注意的是,在此期间病理学的可靠性存在局限性,病理学家在此窗口期内很难区分PD和假性进展。
最后,需要注意的是,IDH突变型神经胶质瘤(非胶质母细胞瘤)的假性进展可能会延续到放疗后的3个月以上,因此即使在12周窗口期之外,仍然可以选择进行第二次确认扫描。然而,对于胶质母细胞瘤的试验,如果处于12周窗口期之外,则很可能是PD,不需要进行第二次扫描。
区分真实进展与假性进展的高级成像方法
有几种先进的成像方法已在临床上普遍应用,但尚未纳入RANO标准。RANO 2.0指出,先进成像技术可能有助于区分进展与假性进展(PsP),但“在正式纳入RANO 2.0之前需要进一步验证。”可以帮助区分真实进展(PD)与假性进展(PsP)的先进成像技术示例如下(注意这些并未包含在RANO中):
* 扩散MRI
* 动态磁敏感对比(DSC)MRI(灌注)
* 动态对比增强(DCE)MRI(灌注)
* 氨基酸正电子激发断层扫描(PET)成像
* 磁共振波谱(MRS)
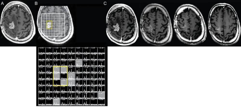
以下是MRS图例。
假性进展与真实进展在胶质母细胞瘤中的区别:神经外科医生需要了解的内容。J Neurosurg. 2023年9月1日;139(3): 748-759,第752页。
图A显示了对比后影像上的增强块。图B展示了覆盖在多体素波谱图上的网格,黄色区域位于增强块的中心。图B下方的网格显示,在正常脑组织区域(黄色框外)有NAA和胆碱峰,但在增强肿块区域没有NAA峰和胆碱峰。NAA和胆碱的减少与假性进展一致,因为在肿瘤中,你会期待看到胆碱峰升高和NAA峰降低。图C中的随访扫描显示,八个月内增强区域减少,这与MRS预测的假性进展一致。
下一个示例是DSC灌注。图G显示了另一个已接受放疗的肿瘤,呈现出较大的T2高信号区域。图H显示了中央坏死区域周围的不规则增强。然而,在图I的相对脑血容量灌注图上,并没有与面板H中显示的厚实不规则增强区域相对应的脑血容量升高区域。这提示可能是假性进展,进一步的外科切除确认未发现可存活的肿瘤。
假性进展与真实进展在胶质母细胞瘤中的区别:神经外科医生需要了解的内容。J Neurosurg. 2023年9月1日;139(3): 748-759,第751页。

